Contexte clinique
Une patiente adulte consulte au cabinet de Lyon 8 pour une teinte dentaire qu’elle juge progressivement jaunie au fil des années.
L’examen clinique révèle des dents saines, sans carie ni restauration visible, avec un émaïl naturellement translucide et une dentine plus colorée — une situation très fréquente chez l’adulte.
Il ne s’agit pas d’un problème de santé, mais d’une demande esthétique légitime, en lien avec l’image de soi et le sourire.
Indication et choix thérapeutique
Compte tenu :
• de l’intégrité de l’émail
• de l’absence de restauration
• et de la demande esthétique mesurée de la patiente
un éclaircissement dentaire externe par gouttières sur mesure a été retenu. Cette solution non invasive permet d’éclaircir la teinte sans meuler ni fragiliser les dents.
Déroulé clinique
• Réalisation de gouttières sur mesure au cabinet
• Prescription d’un gel d’éclaircissement à 16 %
• Port des gouttières à domicile, selon un protocole nocturne, sur environ 7 jours
Le gel est appliqué dans les gouttières pour un port compris entre 1h30 et 8 heures par nuit.
L’agent actif diffuse progressivement à travers l’émail pour éclaircir la dentine, responsable de la teinte jaunâtre.
Astuce du praticien
Le port nocturne pendant le sommeil permet de maximiser l’efficacité, car la durée exacte d’activité du produit varie d’un patient à l’autre.
En cas de sensibilité dentaire transitoire, des pâtes désensibilisantes spécifiques peuvent être utilisées : elles soulagent très efficacement sans interrompre le traitement.
Il est essentiel d’en parler à son praticien plutôt que d’arrêter seul.

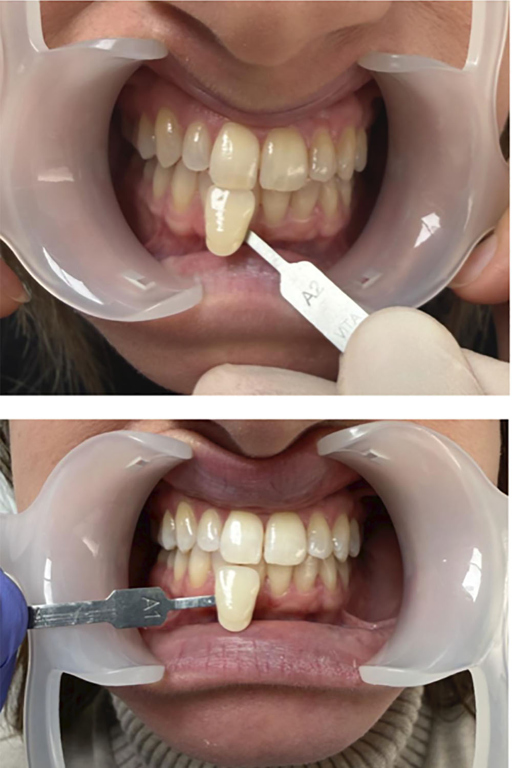
Résultat obtenu
• Éclaircissement visible et homogène
• Passage d’une teinte A2 vers A1, voire plus clair sur certaines dents
• Résultat naturel, respectant la translucidité de l’émail
• Sourire plus lumineux, sans effet artificiel
La patiente retrouve un sourire plus frais, en accord avec son âge et sa morphologie dentaire.
Limites et points de vigilance
• Le résultat dépend de la teinte initiale et de la structure dentaire propre à chaque patient
• Des sensibilités temporaires peuvent apparaître
• L’éclaircissement n’est pas définitif : alimentation, tabac, café ou thé peuvent influencer la tenue dans le temps
Un suivi et parfois des retouches légères sont possibles.
Conclusion
L’éclaircissement dentaire par gouttières sur mesure est une solution simple, efficace et conservatrice pour corriger un jaunissement physiologique des dents. À condition d’un diagnostic précis et d’un protocole encadré, il s’agit d’un excellent compromis entre esthétique, sécurité et respect du capital dentaire.
Cas clinique réalisé au sein du réseau Labelia, Implantologie Dentaire



