L’extraction–implantation immédiate permet de poser un implant dentaire le jour même de l’extraction d’une dent non conservable.
Cette technique vise à préserver l’os et la gencive, réduire le nombre d’interventions et raccourcir la durée globale du traitement, tout en assurant un résultat fonctionnel et esthétique naturel.
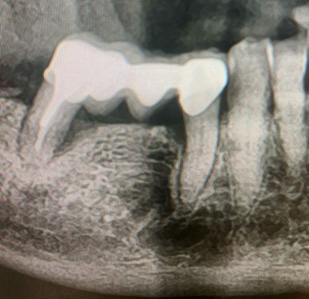
Dans ce cas clinique, la patiente de 72 ans présentait une dent support de bridge non conservable.
Après analyse clinique et radiologique, une extraction atraumatique suivie d’une implantation immédiate a été réalisée.
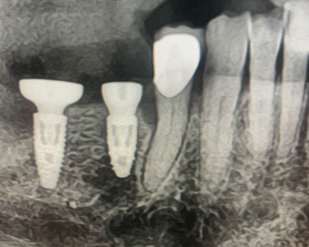
Un apport osseux a été effectué au niveau du site d’extraction, et une supplémentation en vitamine D a été prescrite afin d’optimiser la cinétique de cicatrisation.
Un second implant a été posé le même jour au niveau de l’élément intermédiaire du bridge. Un dent support du bridge ancien est conservée.



La cicatrisation est favorable et les implants s’intègrent dans un environnement osseux et gingival stable.
Les couronnes céramiques présentent une intégration esthétique satisfaisante.
À retenir
L’extraction–implantation immédiate n’est pas systématique.
Elle est proposée uniquement lorsque les conditions cliniques et radiologiques le permettent, après une évaluation personnalisée.
Cas clinique réalisé au sein du réseau Labelia, Implantologie Dentaire



