Quelle solution proposer en cas de perte osseuse postérieure sévère au maxillaire ?
À Labelia Saint-Fons, lorsqu’un patient présente une résorption osseuse importante au niveau postérieur du maxillaire, les implants ptérygoïdiens constituent une alternative avancée aux greffes sinusiennes lourdes. Ils permettent un ancrage cortical profond dans la région ptérygo-maxillaire, offrant stabilité et sécurité biomécanique.
Pourquoi utiliser des implants ptérygoïdiens plutôt qu’un sinus lift ?
Les implants ptérygoïdiens permettent d’éviter des sinus lifts bilatéraux complexes, de réduire les délais de traitement et de limiter la morbidité chirurgicale. Ils offrent une solution fiable pour les réhabilitations complètes maxillaires dans les cas de déficit osseux avancé.
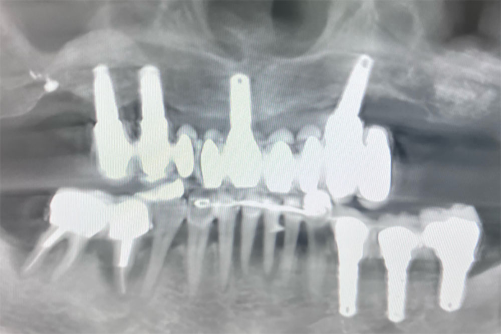
Peut-on conserver des implants anciens lors d’une reprise implantaire ?
Oui. Lors de ce cas traité à Saint-Fons, certains implants issus d’un traitement antérieur étaient parfaitement ostéo-intégrés. Plutôt que de tout déposer, une analyse radiologique (CBCT) et clinique approfondie a permis de conserver les implants fiables et d’intégrer ces ancrages dans une nouvelle stratégie prothétique optimisée.
En quoi consiste l’approche de Labelia Saint-Fons en implantologie complexe ?
Notre approche repose sur une planification numérique complète (CBCT, workflow digital), une analyse biomécanique précise et une stratégie conservatrice intelligente : préserver ce qui fonctionne, reconstruire ce qui est défaillant. Nous intervenons sur des cas d’implantologie complexe, réhabilitations complètes maxillaires et reprises d’échecs implantaires.


Où réaliser une chirurgie implantaire complexe avec implants ptérygoïdiens à Lyon Sud ?
Labelia Saint-Fons prend en charge les patients de Saint-Fons, Vénissieux, Feyzin, Lyon 7, Lyon 8 et plus largement du secteur Lyon Sud. Notre expertise en implants ptérygoïdiens et en réhabilitation maxillaire complète permet de traiter des situations à fort déficit osseux avec des protocoles avancés.













